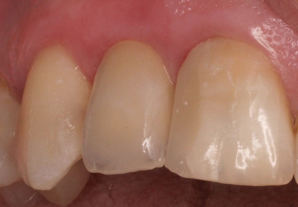
IMPLANTE INMEDIATO EN INCISIVO LATERAL SUPERIOR
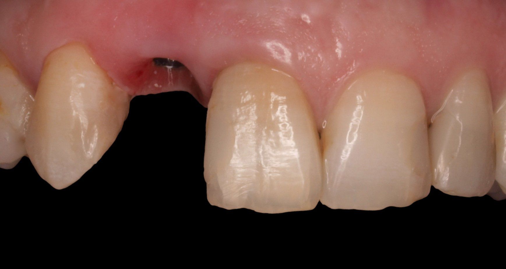
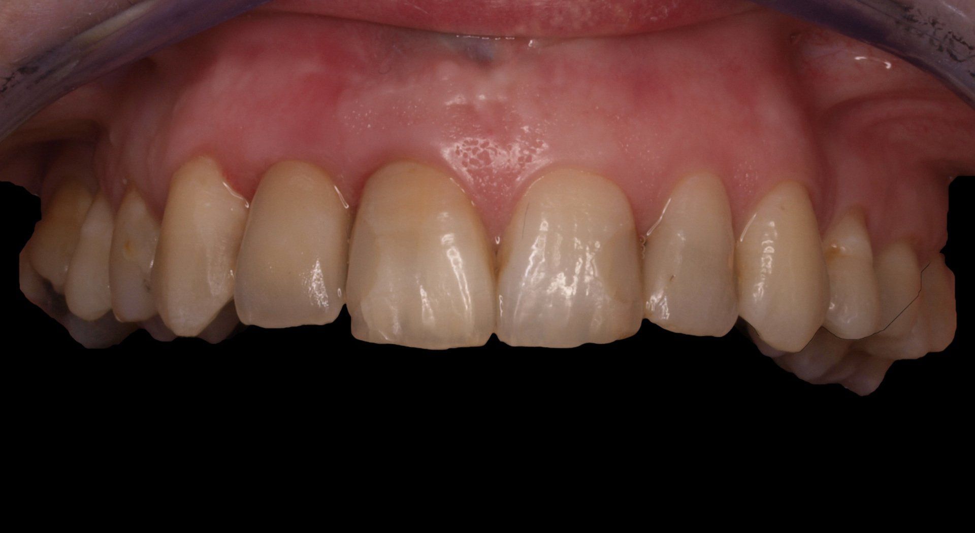
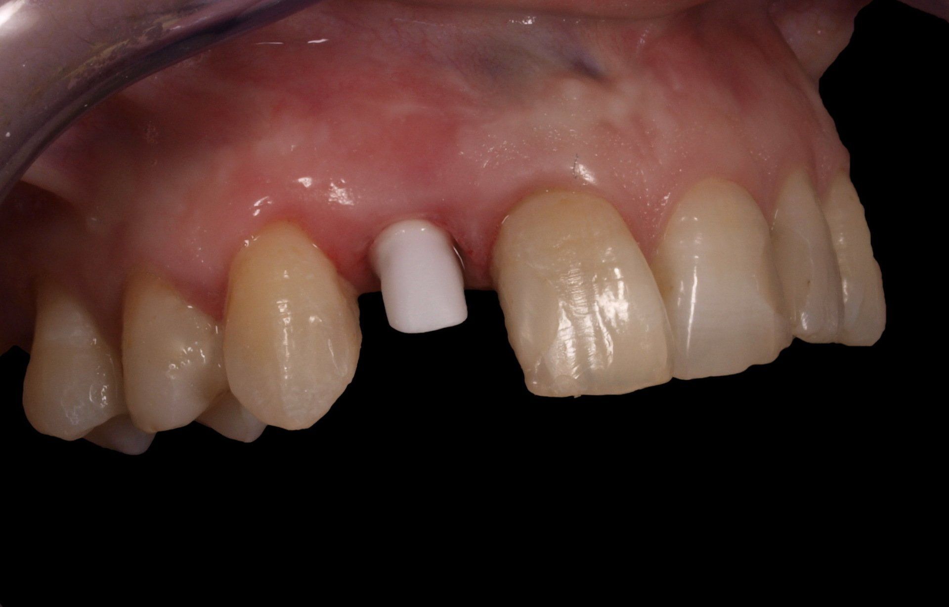
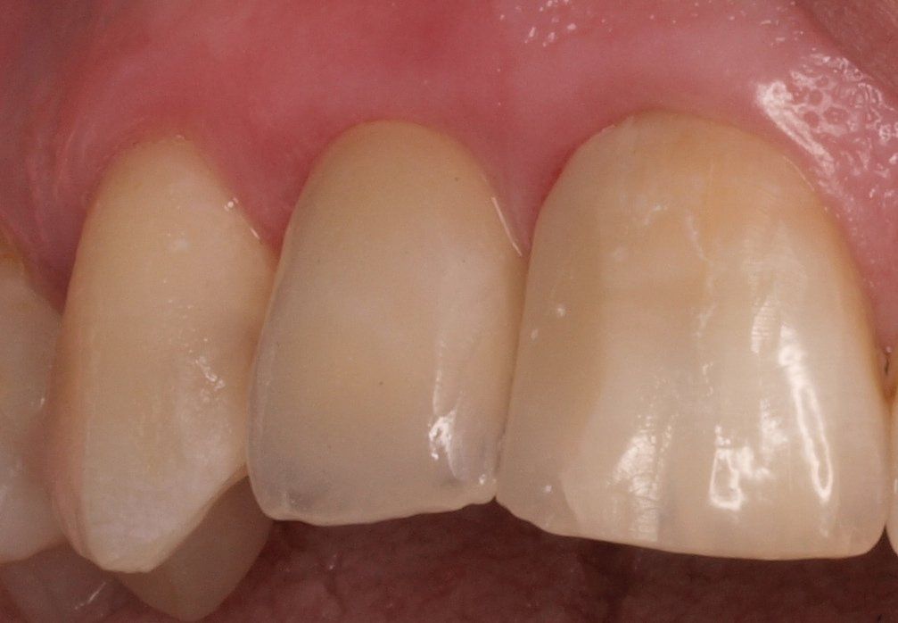
Paciente de 45 años acude a nuestra consulta con fractura vertical en incisivo superior derecho. Se realizó extracción y colocación inmediata de implante. En la misma sesión se toma impresión para la confecciòn de pilar de zirconio y corona inmediata provisional. Dos meses después se colocó una corona definitiva de disilicato (cerámica sin metal inyectada).







