Radiología Odontológica
Tipos de Radiografías dentales
La radiología dental es el arma diagnóstica mas efectiva para el odontólogo, tanto para valoración inicial de las patologías óseas, como para la planificación y seguimiento de los distintos tratamientos. Existen diferentes tipos de radiografías según las zonas afectadas o el plan de tratamiento de cada paciente. Estas pueden ser:
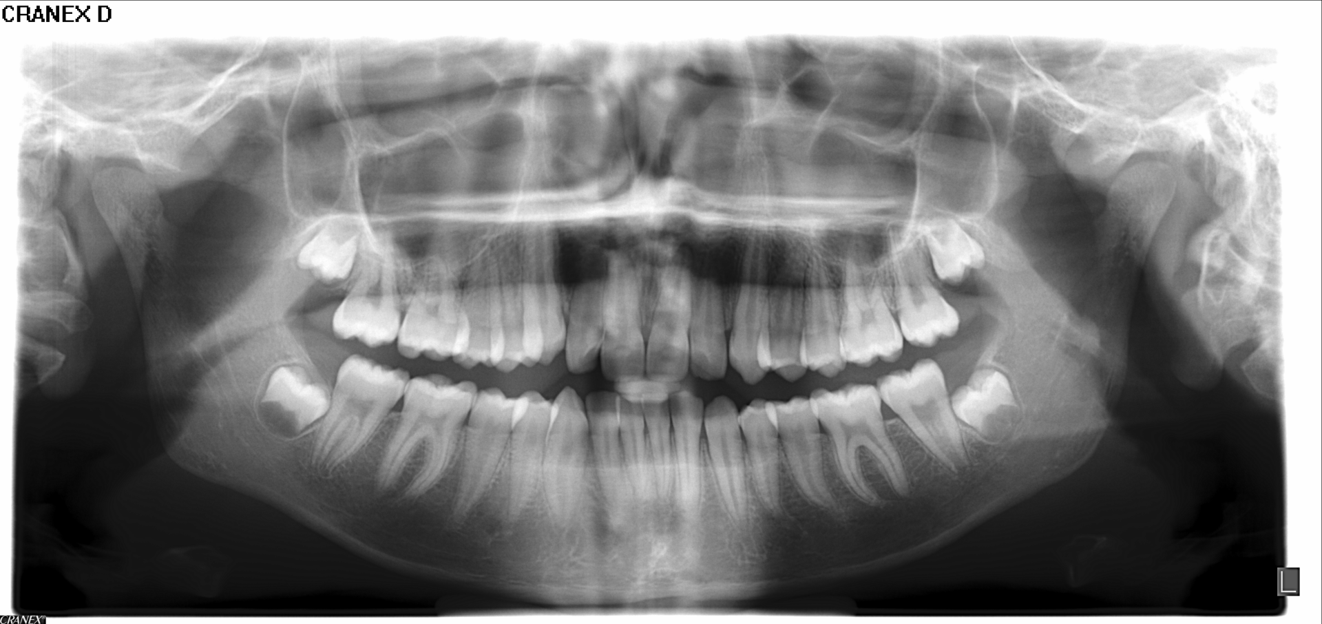
ORTOPANTOMOGRAFIAS: ( Rx Panorámica)
Son radiografías de las dos arcadas, boca completa, y ofrece una vision generalizada de todas las estructuras óseas, dentales y articulares. Estas pueden ser
frontales o
laterales.
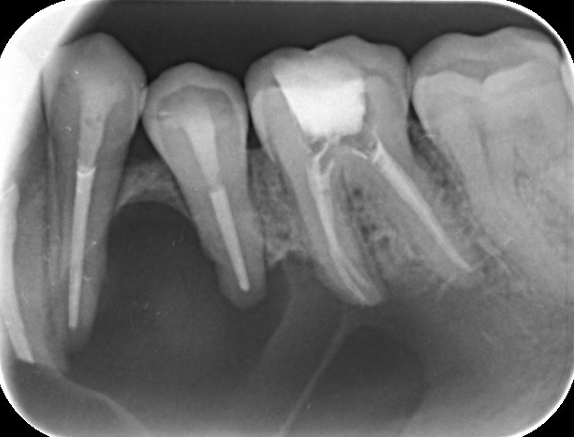
PERIAPICALES: (Intraorales)
Son radiografías de tamaño reducido que captan varios dientes o pequeñas zonas. Se introducen en el interior de la boca.









