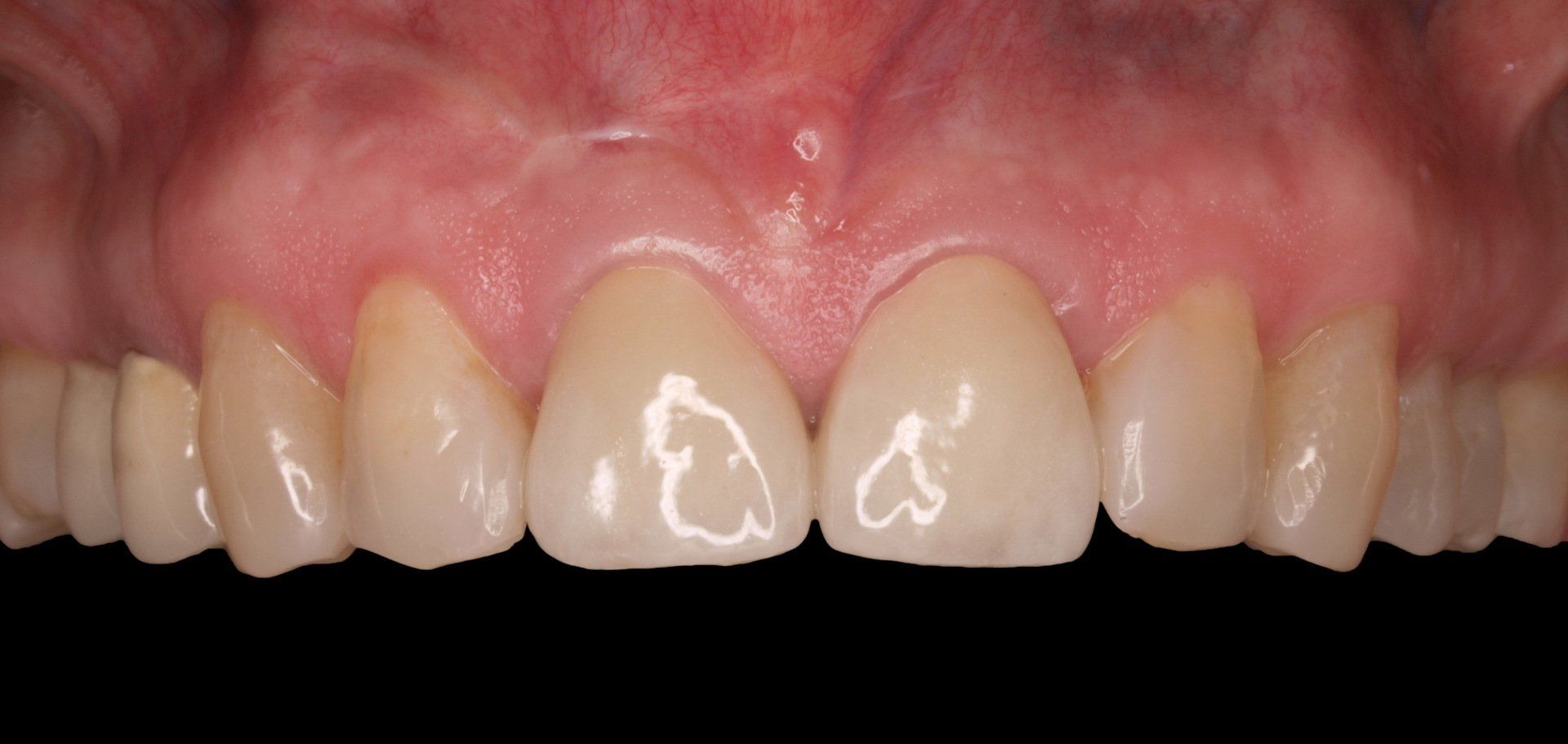
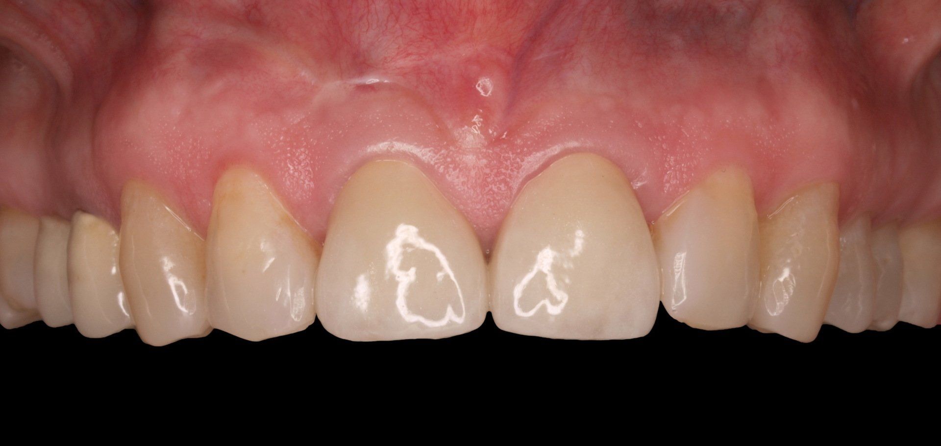
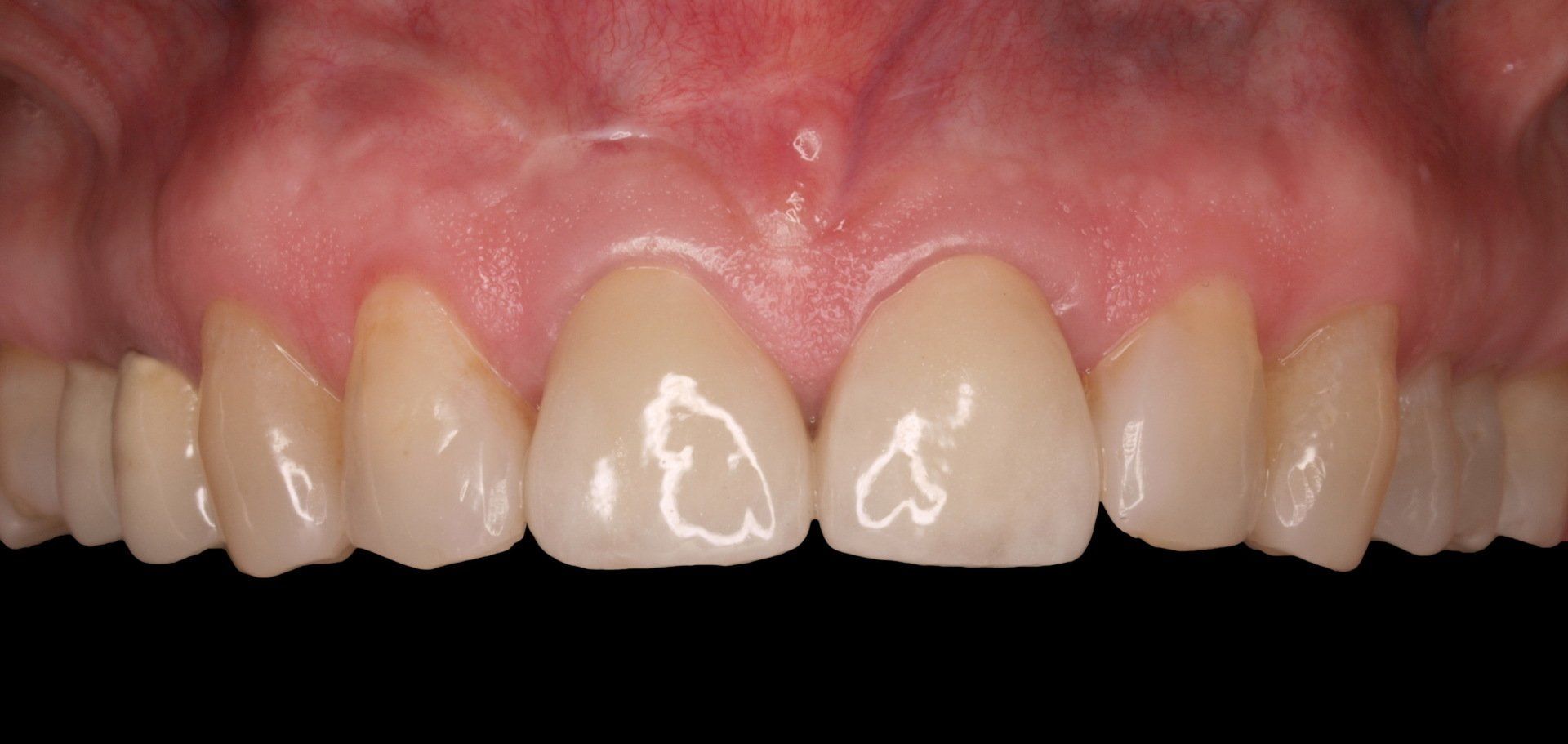
PRÓTESIS FIJA
Las prótesis fijas, son prótesis completamente dentosoportadas, que toman apoyo únicamente en los dientes. Su función consiste en devolver la forma y funcionalidad de incisivos, premolares y molares de manera individual (
fundas o coronas )
de manera parcial ( puentes fijos
) o de manera completa ( rehabilitaciones completas
).
PROCESO CLíNICO Y DE LABORATORIO
El odontólogo desgasta los dientes que servirán como soporte, denominados pilares y situados en los extremos de
cada zona edéntula (sin dientes), en los cuales irán cementadas las prótesis fijas cuidadosamente ajustadas.
Para ello en la clínica, el odontólogo tomará impresiones
y registros de mordida que posteriormente enviará al laboratorio donde el protésico vacía, o positiva, las impresiones en yeso, y confecciona sobre los modelos
resultantes las estructuras de la prótesis fija con cera.
Estos encerados se incluirán en revestimientos especiales resistentes a altas temperaturas, y se procede al colado en metal con distintas aleaciones. El último paso podría ser montar la cerámica sobre las estructuras metálicas, dependiendo del tipo de prótesis fija a realizar, ya que también existe la posibilidad de realizar las coronas y puentes en porcelana pura (sin metal) o sobre una base de un material blanco llamado Alúmina o Zirconio.
Se realizarán varías pruebas en boca, y tras conseguir los tres objetivos esenciales de una prótesis, el odontólogo cementará en boca el resultado, sin que este pueda ser retirado por el paciente.
El protésico dental tendrá que usar un articulador
que simule la articulación temporomandibular del paciente, modelos antagonistas que reproduzcan la arcada dentaria del paciente, etc., para lograr una oclusión correcta y funcional












