Sobredentadura con Barra de Titanio
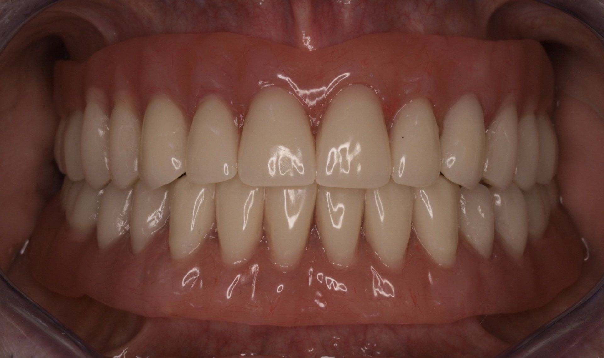
REHABILITACION COMPLETA CON BARRA SOBRE 8 IMPLANTES

RESULTADO FINAL
Dr. José L.Marcos Hernán
Dr. José L.Marcos Hernán
Createch
Createch
Lab. Tecnident, Madrid. Spain
Dr. José Luis Marcos Hernán
Dr. José Luis Marcos Hernán
Dr. José Luis Marcos Hernán
