ESTETICA DENTAL
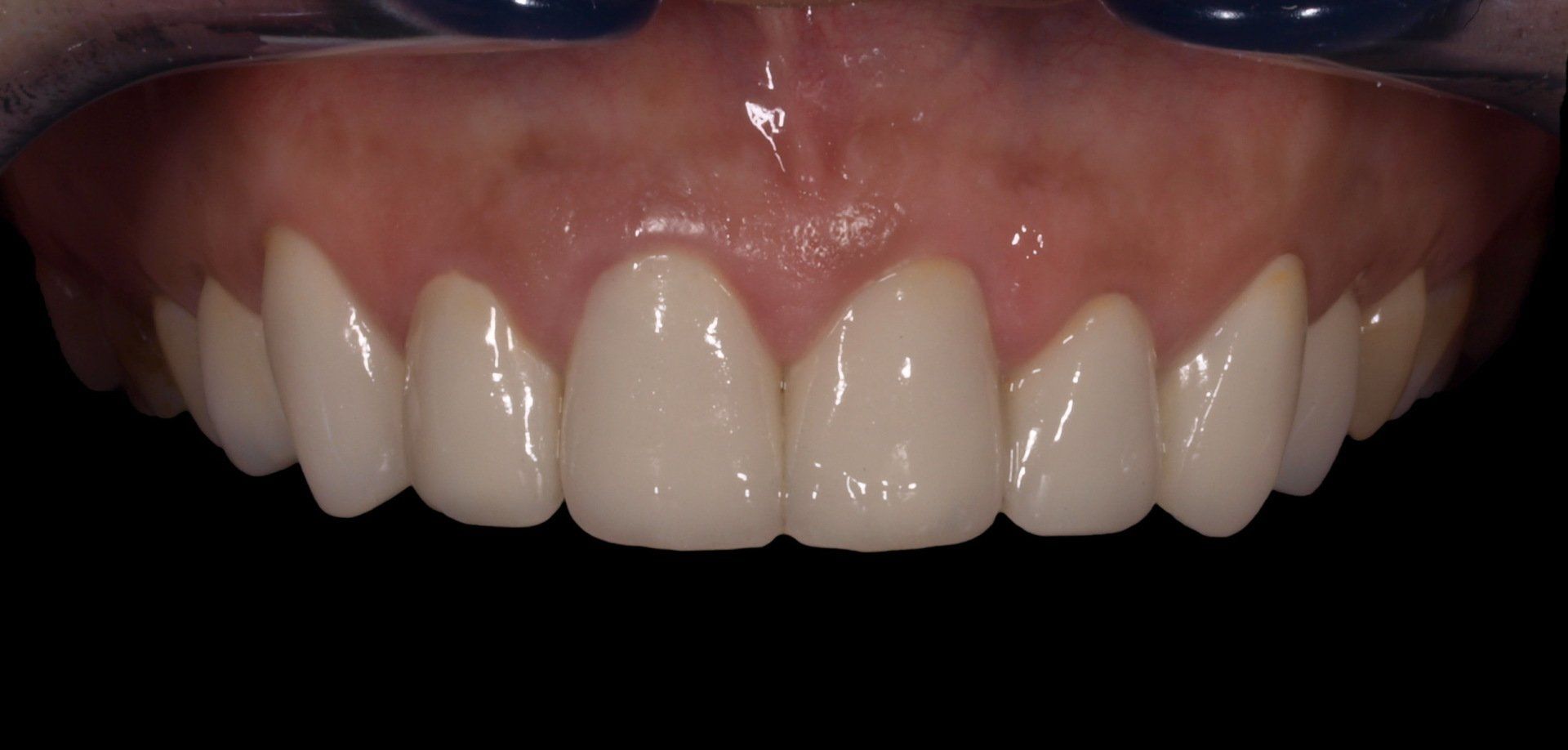
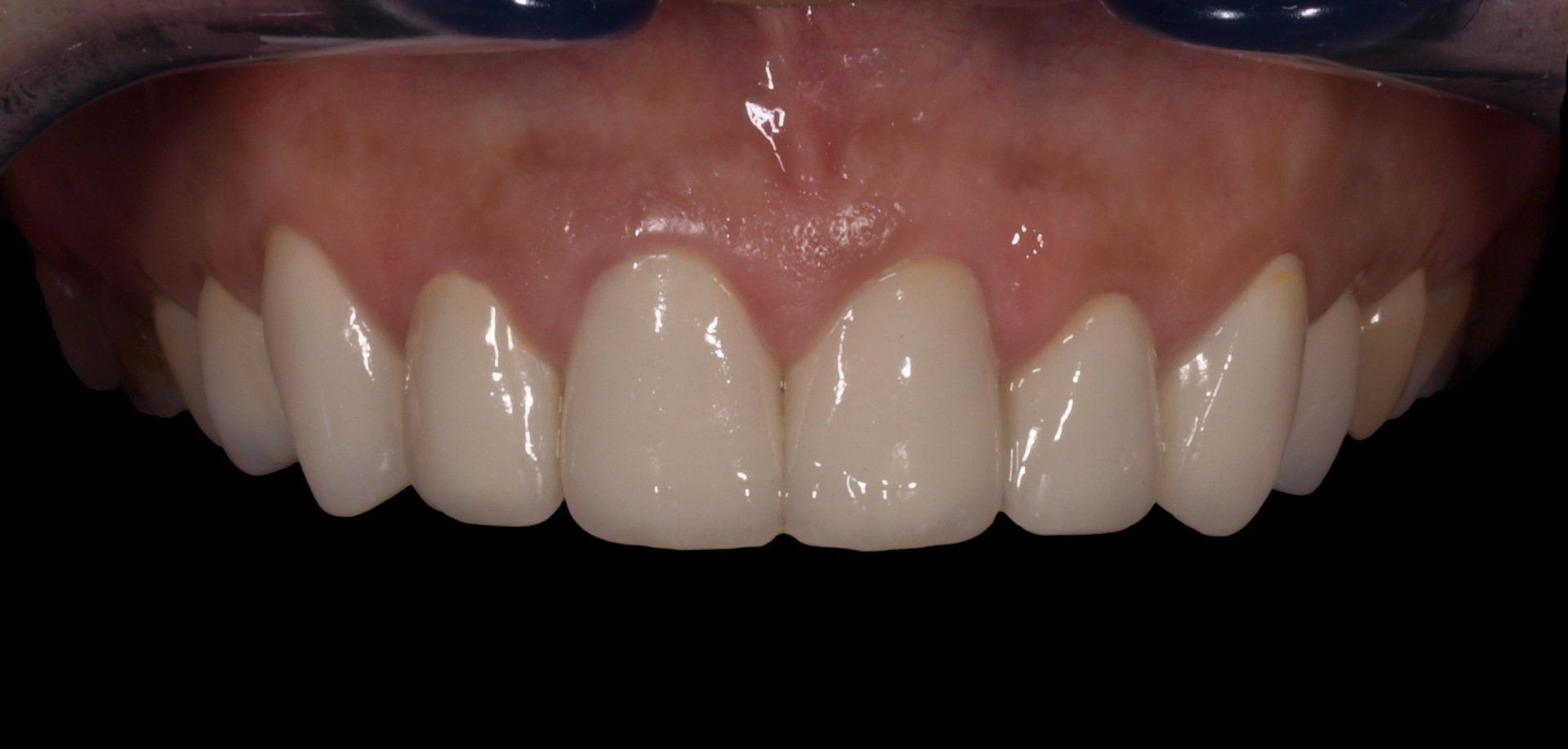
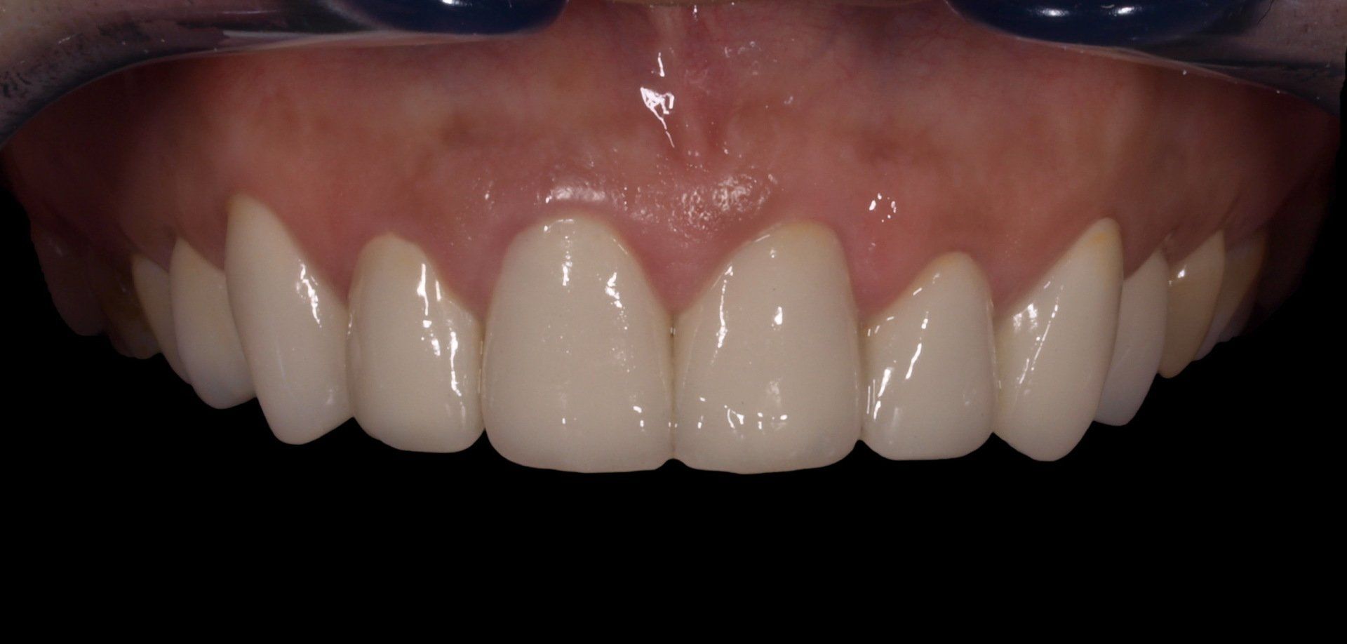
Los tratamientos estéticos son los más demandados y la primera causa de consultas odontológicas. La importancia y exigencia de la estética dental, nos obliga a utilizar las técnicas más vanguardistas y los últimos materiales. Dichos materiales van desde las cerámicas convencionales hasta el zirconio, pasando por el disilicato o las cerámicas inyectadas. Nuestras técnicas están basadas en la experiencia de miles de tratamientos y en el estudio diario de la evolución de la odontología, tanto a nivel clínico como a nivel de tecnología protésica.







