ODONTOLOGIA PREVENTIVA
La odontología preventiva es una rama de la odontología que se encarga de evitar la evolución de enfermedades que puedan afectar a la salud bucodental. A través de un diagnóstico precoz, tenemos la capacidad de minimizar las consecuencias de cualquier problema que pueda agravar el equilibrio o bienestar de la cavidad bucal.
La Odontología Preventiva se encargará de:
- Diagnóstico temprano de cualquier tipo de enfermedad bucal, tanto en dientes como en tejidos blandos. Las revisiones periódicas ayudan a evaluar y prevenir con antelación estas patologías.
- Aplicaciones de flúor
para prevenir la caries dental y fortalecer el esmalte de los dientes.
- Técnica de cepillado correcta y eficaz para la completa eliminación de la placa bacteriana.En ocasiones son necesarios el uso de detectores de placa.
- Aplicación de selladores
dentales en fosas y fisuras que eviten el acúmulo de alimentos en pequeños surcos, y por lo tanto fomenten la aparición de caries.
- Limpiezas dentales
en el consultorio para evitar la solidificación de la placa dental, principalmente aquella que se acumula en la zona interdental.
- Seda dental y cepillos interproximales. Su uso es necesario en casos de apiñamiento dental y zonas de riesgo elevado de acumulo de placa.
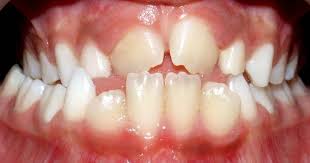
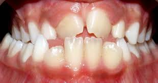
- Maloclusión dentaria precoz, pudiendo así remitir al paciente a un especialista en el área, generalmente al ortodoncista.
Ver más










